1. transmis

2. absorbés

3. diffusés

Diagnostic?... uni par les liens sacrés du mariage.

Retour au portail du corps humain

Retour au cours: le système osseux

Systeme_locomoteur.html
Corps_humain.html

Retour au portail des sciences

Sciences.html

Les rayons X

Les rayons X sont des rayonnements de même nature que la lumière ou les ondes radio: ce sont des ondes électromagnétiques. Ils sont simplement plus énergétiques et ont plus de facilité à pénétrer la matière.

Les rayons électromagnétiques qui rencontrent la matière peuvent se comporter de 3 manières différentes. Ils peuvent être:

Les rayons X peuvent

traverser le corps humain...

Les rayons X sont d'autant mieux absorbés que la matière traversée est compacte (dense) et que le chemin parcouru (L) est long.

L

longues ondes

ondes courtes


basse fréquence

énergie faible

haute fréquence

énergie élevée


Analyse d’une radiographie

Le métal de la bague absorbe totalement les rayons:

il apparaît en blanc.

L’air absorbe très peu les rayons: il apparaît en noir.

Les chairs (muscle, peau, sang, eau) absorbent peu les rayons: elles apparaissent en gris.

L’os est un tissu qui absorbe bien les rayons. Il apparaît en gris pâle ou en blanc suivant l’épaisseur d’os traversé.

La fracture de l’os métacarpien n°4 est bien visible.

mailto:jeanduperrex@bluewin.ch?subject=Courrier%20du%20site

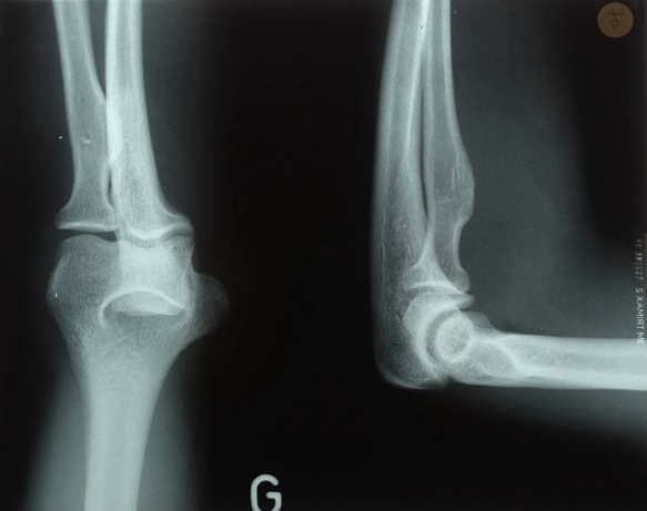
Analyse de radiographies

Radiologie

Analyse différentes radiographies. Essaye de reconnaître:

les différentes parties représentées: os, articulations,...

les malformations, les déplacements, les fractures.

l’âge des sujets: zones de croissances.



RX 001

RX 003

RX 004

RX 005

RX 006

RX 012

RX 018

RX 021

RX 023

RX 024

RX 025

RX 026

RX 027

RX 028

RX 031

RX 034

RX 035

RX 036

RX 039

RX 045

RX 046

RX 047

RX 048

RX 051

RX 052

RX 053

RX 055

RX 069

RX 070

RX 076

RX 073

RX 072

RX 078

RX 080

RX 079

RX 081

RX 083

RX 085

RX 086

RX 093

RX 087

RX 094

RX 097

RX 100

RX 101

RX 105

RX 107

RX 108

RX 113

2

3

1

2

1

3

1

2

3

2

1

2

1

3

1

2

RX 084

1

1

2

1

2

4

3

RX 114

RX 115

Echo-Doppler

échographie vasculaire, examen échographique (ultrasons)

permet de visualiser les veines et les artères mais aussi le flux de sang (sa vitesse, sa direction)

permet de mettre en évidence la thrombose veineuse ou l’évolution d’un anévrisme de l’aorte abdominale par exemple

effet Doppler

source de l’onde immobile

source de l’onde en mouvement

scintigraphie

injection d’une substance radioactive: analyse du rayonnement émis

Tomographie 2D 3D

IRM

L'IRM utilise la technique de résonance magnétique nucléaire: un aimant très puissant et stable est dirigé vers le patient. Les noyaux des atomes qui constituent matière se comportent comme de petits aimants et réagissent en s’alignant sur le champ imposé. Les variations de ce champ induisent un rayonnement électromagnétique mesurable: on peut observer des tissus mous (cerveau, système nerveux, coeur, muscles) avec un très bon contraste. Comme dans le cas du CT-scan, cette technique permet de réaliser des images 2D et 3D.

Imagerie médicale

Le CT-scan («Computerized tomography») ou Tomodensitométrie X  ou encore scanner X est une technique qui utilise aussi la différence d’absorption des rayons X par les tissus. L’émetteur de rayons X n’est pas statique comme dans une radiographie traditionnelle mais effectue une rotation autour du patient: on «découpe en tranches» la personne puis on reconstitue au moyen d’un ordinateur des image 2D et 3D. On peut aussi utiliser un «produit de contraste»  à base d’iode. L’absorption de l’iode rend plus opaque aux rayons X certains tissus mous ou liquides: ils apparaissent plus pâle.

Radiographie

Echographie

Echo-Doppler

IRM_résonance magnétique

CT-scan_scanner X

Radiographie avec produit de contraste

La radiographie est une technique qui utilise la différence d’absorption des rayons X par les tissus. Les os sont particulièrement opaques à ce rayonnement et se détachent des tissus environnants. c’est une technique qui a fait ses preuves pour détecter des fractures et des fissures de l’os..

Une radiographie «normale» ne permet pas de discerner certains organes: ils apparaissent en gris sur fond gris. On utilise alors un «produit de contraste» à base d’iode qu’on injecte. L’absorption de l’iode rend plus opaque aux rayons X certains tissus mous ou liquides: ils apparaissent plus pâle.

radiographie «normale»

radiographie avec un «produit de contraste» rendant les reins opaques.

Certaines techniques permettent de voir à l’intérieur du corps sans être obligé de l’ouvrir (chirurgie): on parle de techniques «non-invasives».

RX Otzi, Bolzano